Highlights from 2025 Conferences

Scientific Poster: Advancing Carcinogenicity Research with the rasH2™ Mouse Model

This poster was presented during the 2025 Society of Toxicology (SOT) meeting held in Orlando, Florida. The conference provided a platform for scientists, researchers, and professionals in the field of toxicology to present their latest findings, exchange ideas, and engage in discussions about advancements in toxicological science. 

T. Imai, M. Akeyoshi, C. Nishime, M. Mochizuki, K. Kawai, T. Yamamoto, and M. Suzuki. 2025. "RasH2 mouse-derived esophageal organoids show higher susceptibilities to 4-NQO without S9 than those with S9 in an ex vivo carcinogenesis model." The Toxicologist, a Supplement to Toxicological Sciences. Abstract #4678.  

Scroll through the poster below, or download to learn more.

RasH2™ mouse-derived esophageal organoids show higher susceptibilities to 4-NQO without S9 than those with S9 in an ex vivo carcinogenesis model

T. Imai, M. Akeyoshi, C. Nishime, M. Mochizuki, K. Kawai, T. Yamamoto, and M. Suzuki

CIEM - Central Institute for Experimental Medicine and Life Science, Kawasaki, Japan

Jump to: Results | Conclusion

Background

It was reported that rasH2™ mice showed high susceptibility to tongue and esophageal carcinogenesis caused by 4-nitroquinoline 1-oxide (4-NQO) in drinking water (Miyamoto S et al., 2008). Therefore, this study examined the carcinogenic potential of 4-NQO in an ex vivo model using rasH2™ mouse-derived esophageal organoids to determine the carcinogenic mechanisms at the cellular level. 

Materials and Methods

Animals: rasH2™, a hemizygous transgenic mouse carrying the human protooncogene c-HRAS, and non-Tg (wild type) male mice (5-7-week-old)

Pretreatment of esophagus: incubation in Dispase II at 37℃ for 45 min, followed by epithelial peeling and incubation in trypsin for 10 min.

Medium composition in Advanced DMEM/F12 medium: HEPES (10 mM), NAC (1 mM), 1×N2 Supplement, 1×B-27™ Supplement, mEGF (100 ng/mL), Noggin (100 ng/mL), R-Spondin (100 ng/mL), Y-27632 (10 μM)

Clinical treatment: chemicals were mixed in the medium after passaging at each concentration on day 1, followed by washing with PBS and overlaying with Matrigel™ on day 2 (Figure 1).

Figure 1: Schematic illustration of the ex vivo chemical carcinogenesis model using mouse tissue-derivced organoids

Selection of concentrations of 4-NQO; cell viability assays of rasH2™  mouse-and wild type mouse-derived esophageal organoids were performed using Real-time Glo™ 

 

Results

(1) Diminished cytotoxicities under conditions of S9(+) in the both rasH2™ and non-Tg mice-derived organoids (Figure 2)

Evaluation of treatments diagram

Figure 2: Cell viabilities of 4-NQO-treated esophageal organoids under S9(+) and S9(-) conditions




(2) No tumor induction in non-Tg mouse-derived esophageal organoids treated with 4-NQO under S9(-) and S9(+) conditions (Figure 3) 

experimental set-up diagram

Figure 3a: Macroscopic (bar = 1cm) of non-Tg mouse-derived esophageal organoids treated with 4-NQO under S9(+) and S9(-) conditions (subcutaneous tissues in nude mice)

Figure 3b: Histopatholgical features (bar= 50μm) of non-Tg mouse-derived esophageal organoids treated with 4-NQO under S9(+) and S9(-) conditions (subcutaneous tissues in nude mice)


(3) No tumor induction in rasH2™ mouse-derived esophageal organoids treated with 4-NQO under S9(+) conditions

Macroscopic and histopathological features of rasH2™ mouse-derived organoids treated with 4-NQO under S9(+) conditions were similar to those of non-Tg mouse-derived ones as above.  


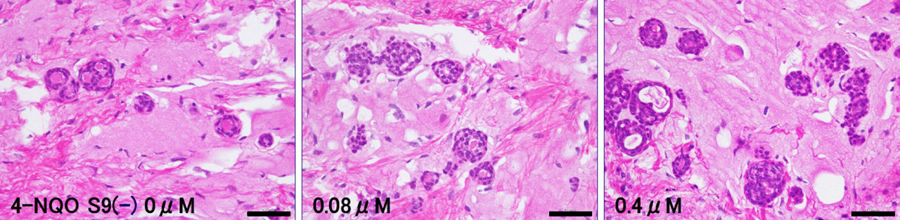
(4) Induction of papillomas/carcinomas in rasH2™ mouse-derived esophageal organoids treated with 4-NQO under S9(-) conditions (Tables 1 and 2, Figure 4)

Figure 4a: Macroscopic (bar = 1cm) of rasH2™ mouse derived esophageal organoids treated with 4-NQO under S9(-) conditions (sub-cutaneous tissues in NOG/nude mice)


Conclusions

The combination of intracellular metabolic modification of 4-NQO via seryl-tRNA synthase and inserted c-HRAS gene expressions in the esophageal epithelia was suggested to contribute the tumor induction; while extracellular S9 negatively worked.

Featured Model

rasH2™ mouse

rasH2™ mice enable rapid, cost-effective carcinogenicity testing, reducing study time for more reliable cancer risk research. Widely accepted by regulatory agencies for drug safety assessment.
HIS


How can we help you?
Fill out the form to connect with us:


Additional Resources

Therapeutic Area

Oncology and Immuno-Oncology Portfolio

Explore how Taconic Biosciences’ cutting-edge portfolio of genetically engineered models (GEMs) and humanized mice advance understanding of cancer and develop novel therapies for oncology and immuno-oncology research.


On-Demand Webinar

Leveraging the rasH2™ mouse following the 2022 Addendum to Testing for Carcinogenicity of Pharmaceuticals within the ICH S1B(R1) Guidelines

Discover how the ICH S1B(R1) Addendum updates carcinogenicity testing, reducing animal use while refining risk assessment for pharmaceutical development.
Cells


Portfolio

NOG Portfolio

A unique collection of superimmunodeficient mouse models with broad applications built upon the CIEA NOG mouse®.


How can we help you?
Fill out the form to connect with us: