Highlights from 2025 Conferences

Scientific Poster: Refined carcinogenic susceptibility monitoring in rasH2™ mice

This poster was presented during the 2025 Society of Toxicology (SOT) meeting held in Orlando, Florida. The conference provided a platform for scientists, researchers, and professionals in the field of toxicology to present their latest findings, exchange ideas, and engage in discussions about advancements in toxicological science. 

Scroll through the poster below, or download to learn more.

N-methyl-N-nitrosourea–induced forestomach neoplastic lesions are formed in rasH2 mice at 13 weeks after a single intra-abdominal injection

Takamasa Numano 1) , Ryo Inoue 1) , Chiyoko Nishime 1) , Masahiko Yasuda 1) , Yoko Kamai 1) , Misa Mochizuki 1) , Kenji Kawai 1) , Tatsuya Miyake 2) . Izumi Owada 2) , Taichi Yamamoto 1) , Masami Suzuki 1)

1) Central Institute for Experimental Medicine and Life Science, Kawasaki, Japan 2) CLEA Japan, Inc., Fujinomiya, Japan

Jump to: Results | Conclusion

Background and Objective

CByB6F1-Tg(HRAS)2Jic mice (rasH2) were developed as an alternative model to the conventional 2-year bioassay used for carcinogenicity testing.

The mice have been produced in three breeding facilities, CLEA Japan, Inc. (Fujinomiya, Shizuoka, Japan) and Taconic Biosciences (Germantown, NY, USA and Tornbjerg, DK). To maintain phenotype fidelity and carcinogenic susceptibility in rasH2 mice, both colonies have been renewed within 10 generations. Insertion of the c-Ha-Ras gene is verified in all mice through PCR method. After colony renewal, we systematically conducted a 26-week carcinogenicity study utilizing N-methyl-N-nitrosourea (MNU) to ensure quality assurance.

This protocol includes i) comprehensive volume monitoring to evaluate sensitivity to MNU across all organs to ensure comparability, and ii) simplified volume monitoring to verify consistent forestomach sensitivity.

Our background and published data revealed that forestomach squamous cell papilloma or carcinoma was detected in over 80% of cases within 12 to 13 weeks following MNU administration. Consequently, we hypothesized that a simplified monitoring study could be effectively completed within a 13-week period.

In the present study, we investigated whether carcinogenic susceptibility in the forestomach remained consistently detectable when the observation period was set at 13 weeks by comparing to that at 26 weeks following MNU administration.

Materials and Methods

Animals: Both sexes of rasH2 mice (CLEA Japan, Inc.), 5- or 6-week-old at the receipt

Test Chemical: N-methyl-N-nitrosourea (MNU) was purchased from Medchemexpress.

Administration of test chemical: Mice aged 7-week-old were treated with 75 mg/kg of MNU solution by a single i.p. injection.

Observation period: necropsies were performed either at 13th or 26th week after the MNU administration. 

Observation and Examination Items: Survival rate, body weight, gross pathological and histopathological examination. 

Judgement criteria: With tumor incidence in forestomach exceeding 80% indicating sustained carcinogenic susceptibility.

 

Study Design

Evaluation of treatments diagram
Experimental No.SexDose of MNU (mg/kg)Observation periodNo. of animals
1Male/Female751315
2615
2Male/Female751315
2615
3Male/Female751310

Two comparative studies of 13- and 26- week group (Experiments 1 and 2) and one 13-week group validation study (Experiment 3) were conducted.




Figure 1. Survival curves

Dead or moribund animals were observed from 8 weeks after MNU administration, with their numbers gradually increased. Survival curves exhibited a consistent trend across both experiment 1 and 2. In the 26-week group, survival rates were 20.0 or 0.0% for males and females in experiment 1, and 0.0% for both sexes in experiment 2. In experiment 3, the survival rate at week-13 after MNU administration was 70.0% for both male and female.


Figure 2. Representative macroscopic observation of the forestomach

In the 13-week necropsy animals across 3 experiments, multiple papillary nodules measuring approximately range
1 to 5 mm in diameter were sporadically observed in the forestomach

Forestomach nodules were observed in all mice of both sexes in both the 13-week or 26-week groups. In some cases, large nodules exhibited hemorrhage with penetration extending to the serosal surface. 

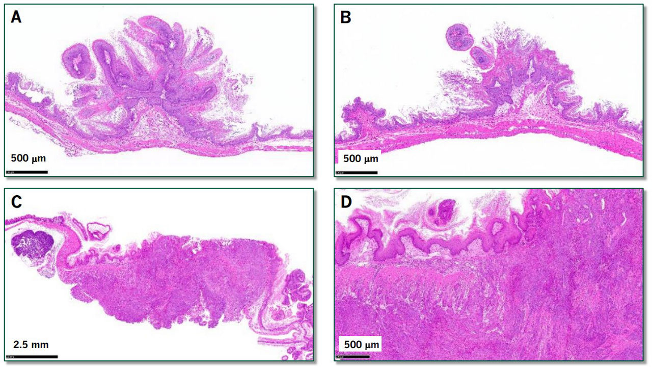
Figure 3. Representative histopathological images of the forestomach

Typical squamous cell papilloma observed in male or female of rasH2 mice in 13-week study (A and B). Squamous cell carcinoma was observed in some cases in either 13-week or 26-week group (C). Higher magnification of photo C shows the penetration of submucosa, muscle layer, and serosa (D). Main cause of death in the moribund or found dead animals was thymic malignant lymphoma, a frequent histopathological finding in MNU-treated rasH2 mice.


Table 1. Neoplastic lesion of the forestomach over the three studies

Rotate your device to view this table

OrgansSexMNU (mg/kg)Exp. No.Observation Period (week)No. of animalsIncidence (%)
Papilloma, squamous cellCarcinoma, squamous cell
ForestomachMale75Exp. 1131515 (100.0)0 (0.0)15 (100.0)
261515 (100.0)0 (0.0)15 (100.0)
Exp. 2131515 (100.0)1 (6.7)15 (100.0)
261515 (100.0)1 (6.7)15 (100.0)
Exp. 3131010 (100.0)0 (0.0)10 (100.0)
Female75Exp. 1131514 (93.3)1 (6.7)15 (100.0)
261514 (93.3)0 (0.0)14 (93.3)
Exp. 2131514 (93.3)2 (13.3)15 (100.0)
261514 (93.3)0 (0.0)14 (93.3)
Exp. 3131010 (100.0)0 (0.0)10 (100.0)

Table 2. Summary of histopathological examination of neoplastic lesion in the forestomach from 26-week carcinogenicity studies conducted over the past 5 years (2019-2024)

Rotate your device to view this table

SupplierSexMNU (mg/kg)No. of animalsPapilloma, squamous cellCarcinoma, squamous cellPapilloma or carcinomaIncidence (%)
CLEAMale756560764/6598.5
Female756563265/65100.0
TaconicMale758581584/8598.8
Female758582284/8598.8

 

Histopathological examination exhibited that incidence of neoplastic lesion of the forestomach in the 13-week observation period across three studies was 100.0% in both sexes of rasH2 mice.
Historical control data from CIEM 26-week carcinogenicity studies involving Taconic and CLEA Japan mice exhibited that incidence of neoplastic lesions in the forestomach was exceeding 98.5%.

Conclusions

Based on these findings, the forestomach tumor incidence after 13-week MNU administration is deemed to match the established criterion (exceeding 80.0% forestomach tumor incidence) in alignment with the 26-week simplified volume monitoring carcinogenicity study.

In the upcoming simplified volume-monitoring carcinogenicity studies, the experimental period will be shortened from 26 weeks to 13 weeks.

COI
The authors have no financial conflicts of interest to disclose concerning the presentation

Future phenotypic monitoring system

Featured Model

rasH2™ mouse

rasH2™ mice enable rapid, cost-effective carcinogenicity testing, reducing study time for more reliable cancer risk research. Widely accepted by regulatory agencies for drug safety assessment.
HIS


How can we help you?
Fill out the form to connect with us:


Additional Resources

Therapeutic Area

Oncology and Immuno-Oncology Portfolio

Explore how Taconic Biosciences’ cutting-edge portfolio of genetically engineered models (GEMs) and humanized mice advance understanding of cancer and develop novel therapies for oncology and immuno-oncology research.


On-Demand Webinar

Leveraging the rasH2™ mouse following the 2022 Addendum to Testing for Carcinogenicity of Pharmaceuticals within the ICH S1B(R1) Guidelines

Discover how the ICH S1B(R1) Addendum updates carcinogenicity testing, reducing animal use while refining risk assessment for pharmaceutical development.
Cells


Portfolio

NOG Portfolio

A unique collection of superimmunodeficient mouse models with broad applications built upon the CIEA NOG mouse®.


How can we help you?
Fill out the form to connect with us: