(Formerly Known as NASH B6)
(Formerly Known as NASH B6)
| Model No. | Nomenclature | Genotype |
|---|---|---|
| MASH-B6-M | C57BL/6NTac | |
| MASH-B6-CONTROL-M | C57BL/6NTac |
Nomenclature: C57BL/6NTac
Recommended Controls
The recommended control for this model is MASH-B6-CONTROL

Initial Publication:
Other Publications:
Transit, Housing & Welfare
Need more info? Click the live chat button or Contact Us
MASH B6 animals and MASH B6 controls are packed as cagemates, one cage per Taconic Transit Cage (TTC). We recommend that customers do NOT recombine animals from different TTCs into the same cage at or after unpacking.
Please see important information regarding recommended housing and husbandry along with potential adverse phenotypes in Policies, Recommendations, & Resources for Taconic’s Diet Induced MASH Model.
Note that the data below was collected from animals which did not experience shipping. The stress of shipping can cause weight loss, which impacts the MASH phenotype. We recommend a pilot to assess the impact of transit to your facility and identify appropriate acclimation timelines.
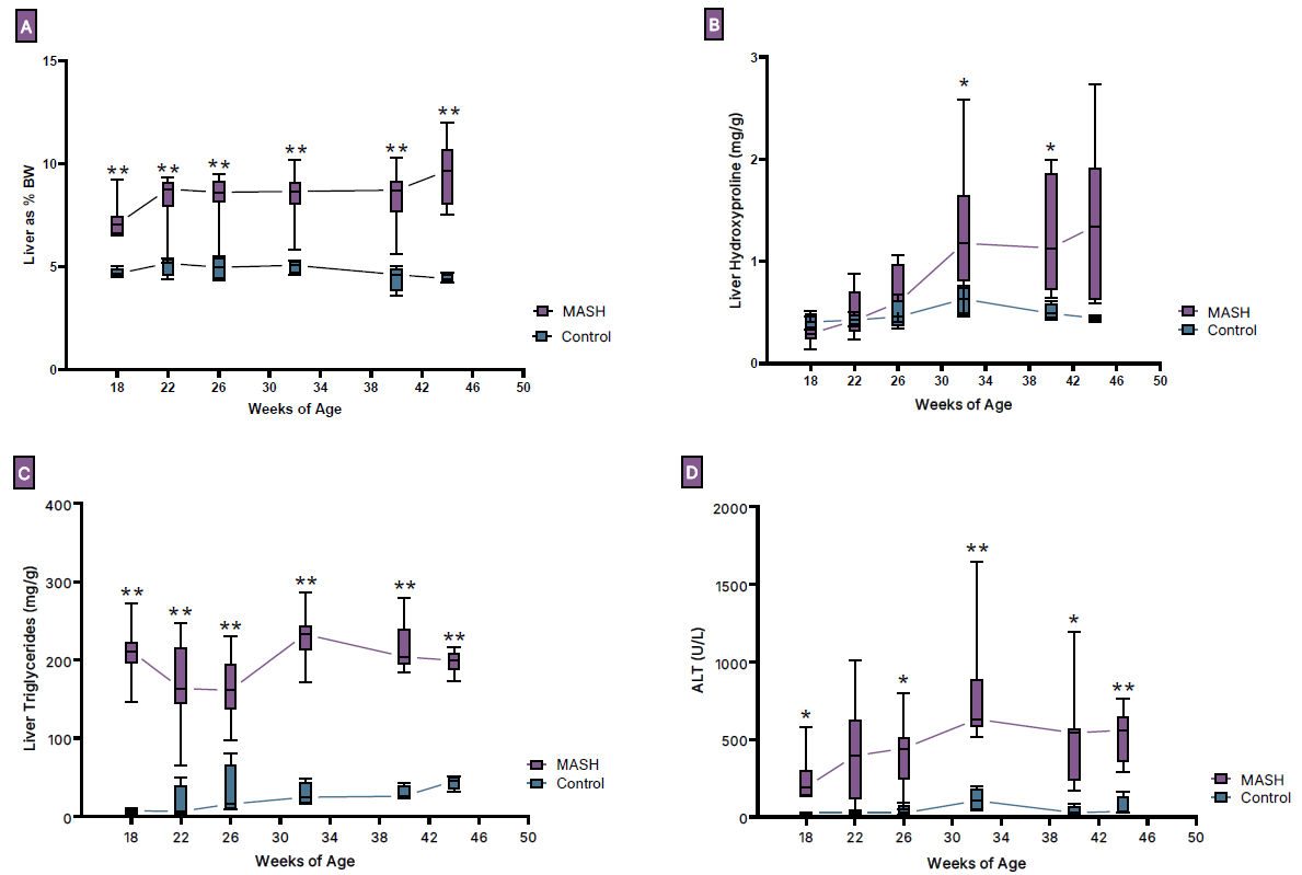
Figure 1: Comparison between C57BL/6NTac mice placed on D09100310 diet (MASH B6NTac) or kept on chow diet (Control B6NTac) from 5 weeks of age. A) Liver weight as a percentage of total body weight. B) Liver hydroxyproline content. C) Liver triglycerides. D) Serum alanine aminotransferase levels (ALT). For each time point, n=8 for MASH B6NTac and n=4 for Control B6NTac. Different individual animals were used for each time point (i.e. data is not longitudinal by animal). * and ** indicate statistical significance between MASH and control animals. Two-way ANOVA with multiple comparisons, with p-value<0.05* or p-value<0.01** Data provided by an anonymous pharmaceutical company.
Figure 2: MASH B6 have significantly elevated alanine aminotransferase (ALT) plasma levels. 2-way ANOVA Diet x Time: Only Diet is significant p< 0.0001. Sidak's Multiple Comparisons Test. Not Longitudinal.
Figure 3: Summary of quantitative histology findings. T-Test Multiple Comparisons: Separate Analysis per Time, Unpaired. Significance level p<0.001
Figure 4: (A) Fibrosis score and (B) % fibrosis area. 2-Way ANOVA Time x Diet: Sidak's Multiple Comparisons. Significance level p<0.0001. Not Longitudinal. Fibrosis Score - Only diet is significant. % Fibrosis Area - Time vs Diet is significant and STRONG INTERACTION.
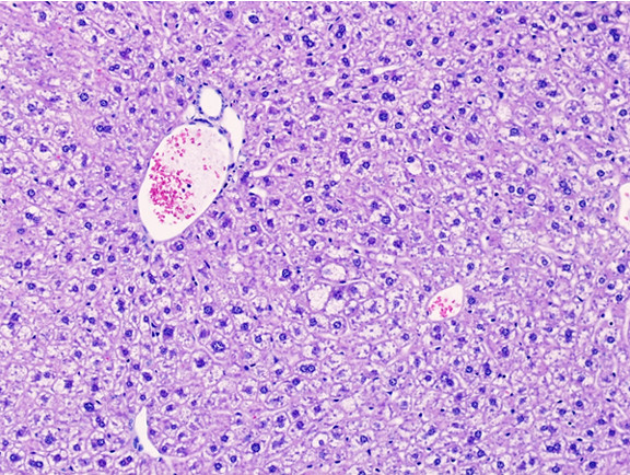
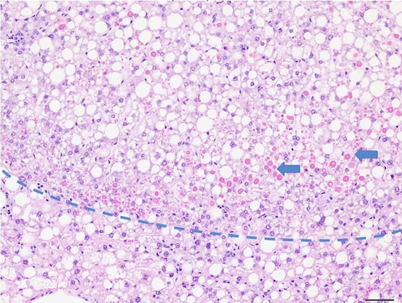
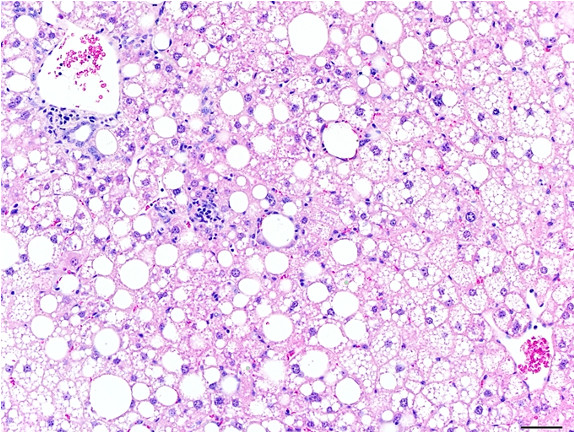
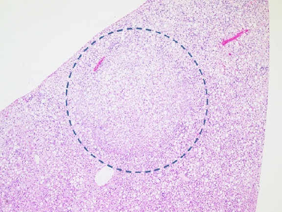
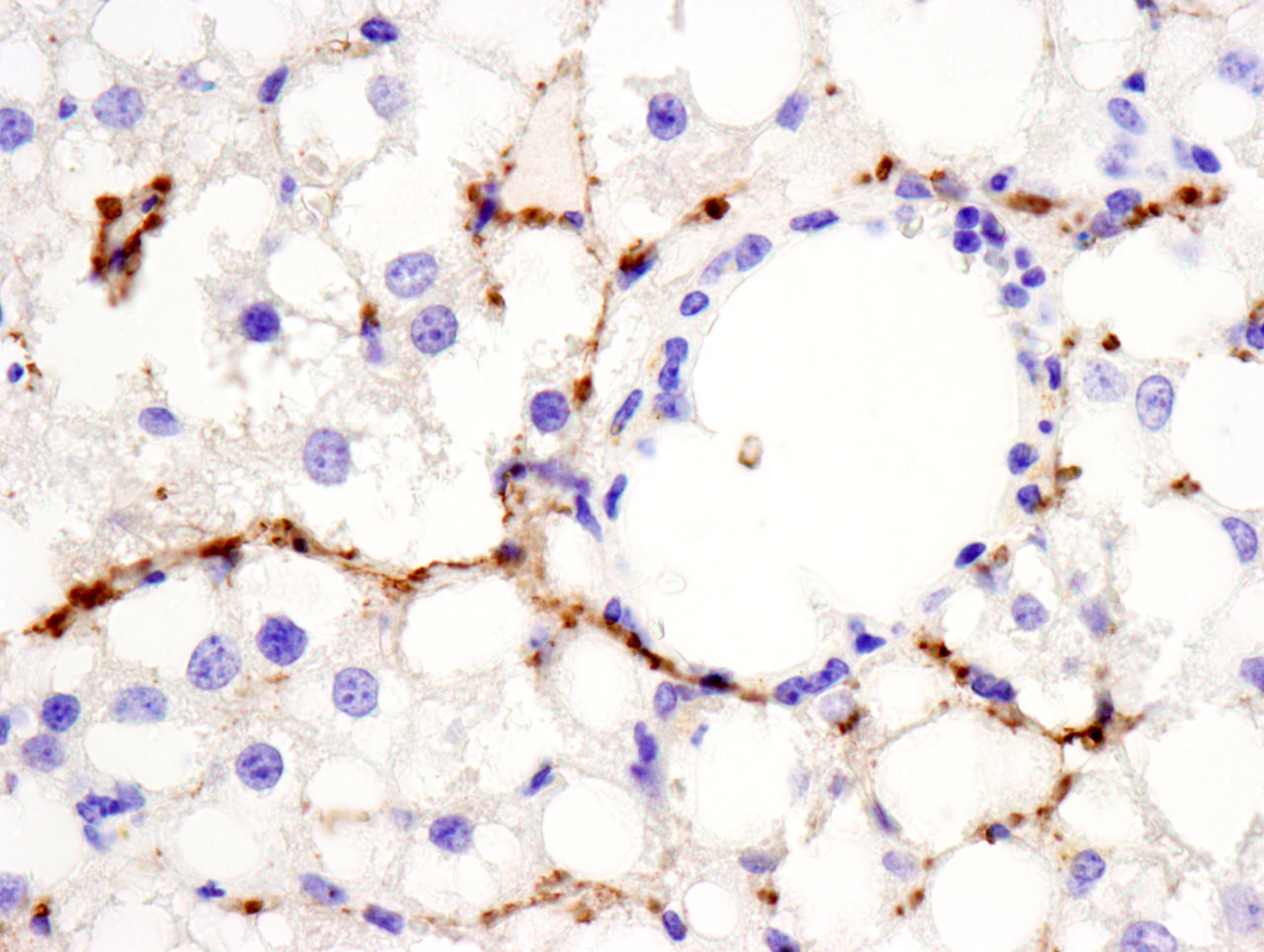
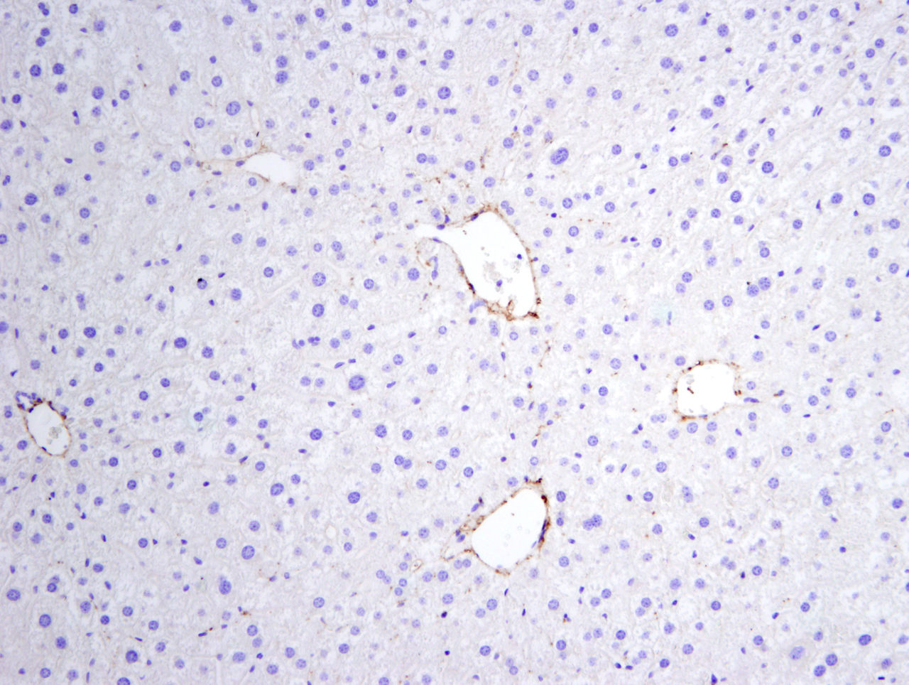
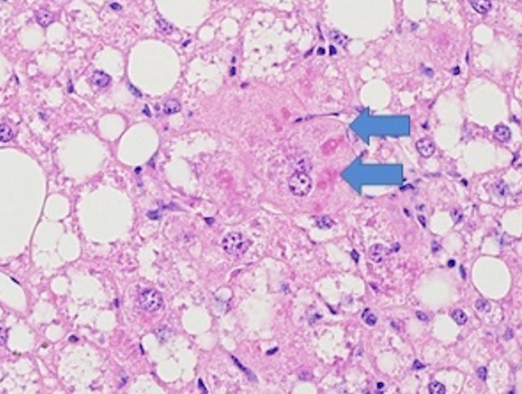
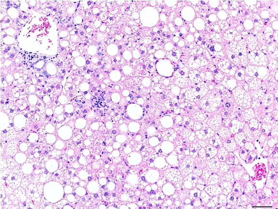
Figure 5: MASH B6 have hepatic crown-like structures (hCLS), a unique histological finding from MASH patients. Hepatic crown-like structures (blue arrowheads) are macrophages surrounding hepatocytes with large lipid vacuoles. Macrophages also form solid inflammatory cell aggregates with other leukocytes (red arrowheads).
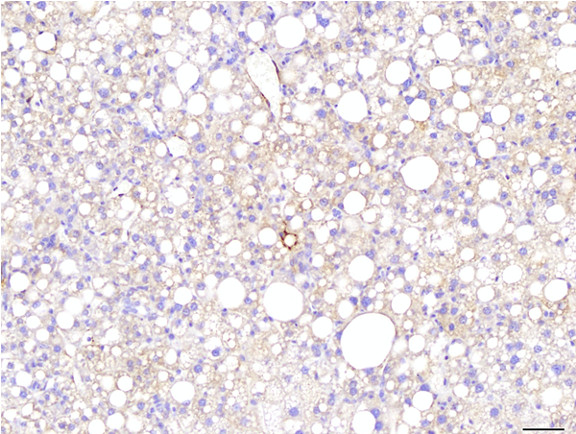
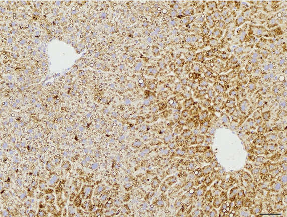
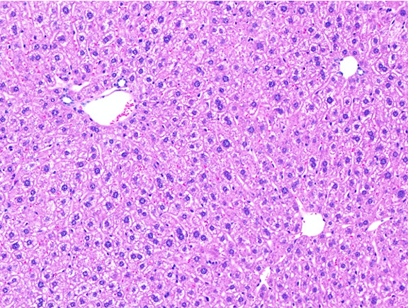
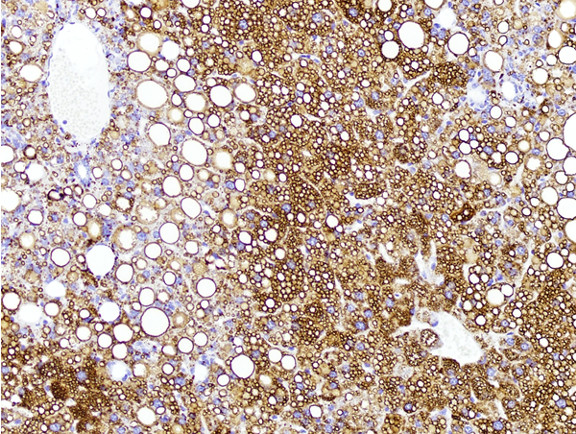
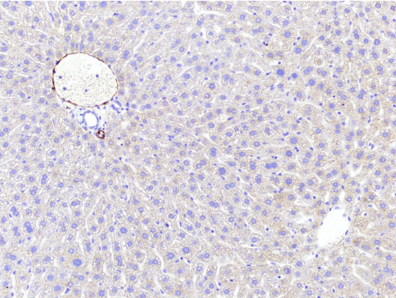
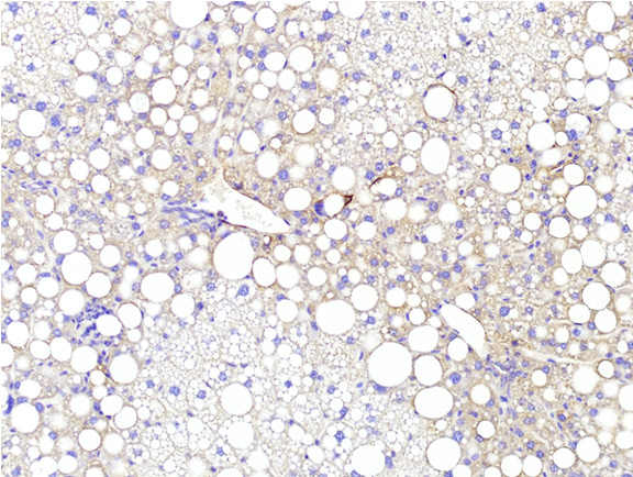
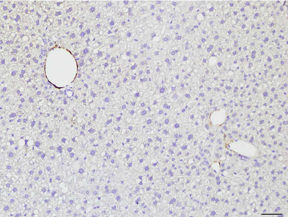
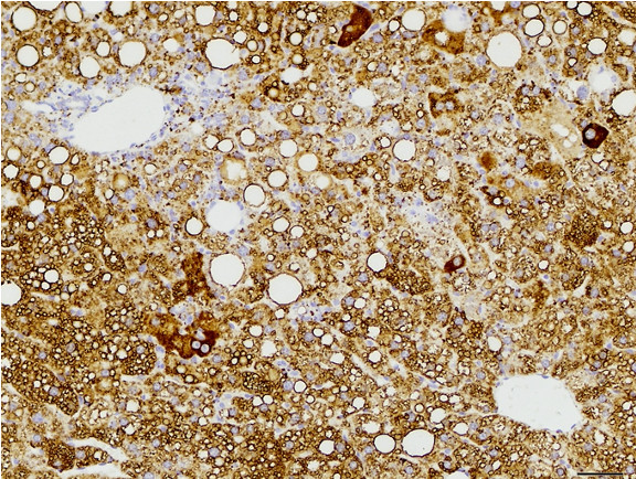
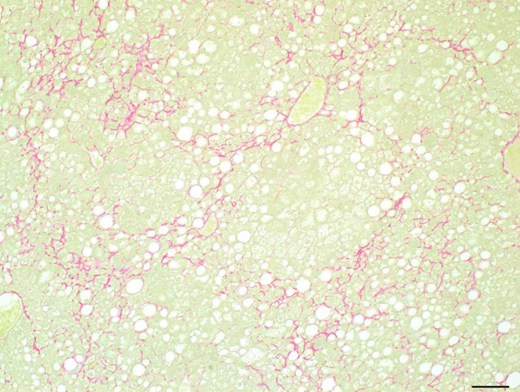
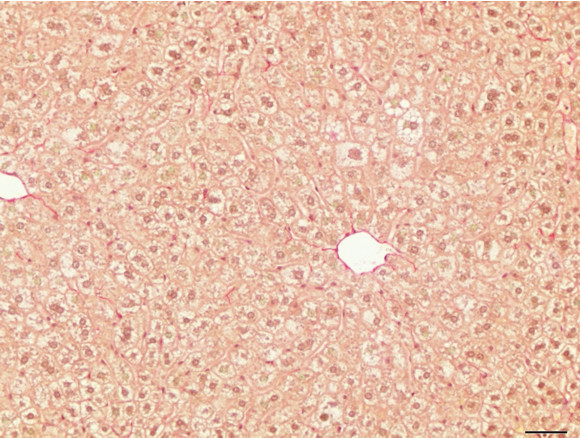
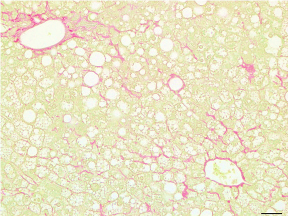
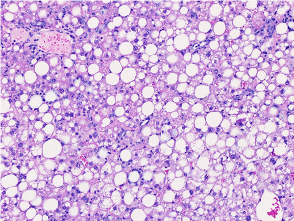
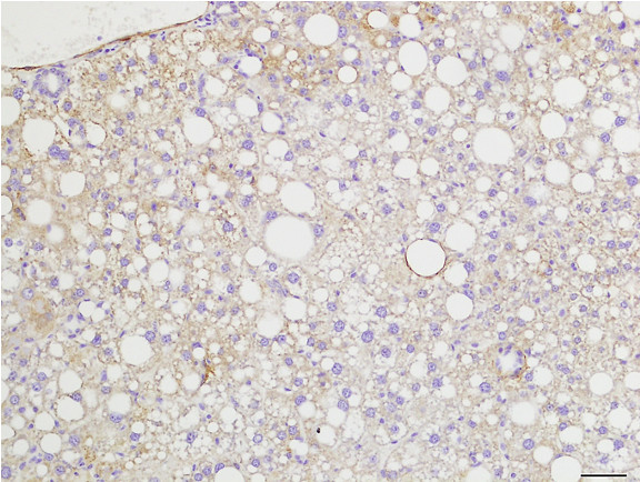
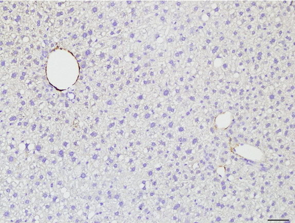
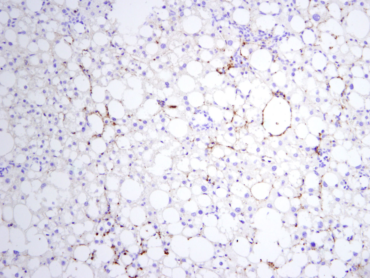
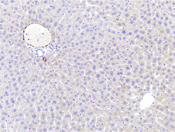
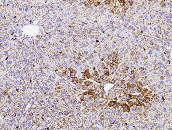
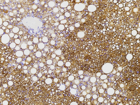
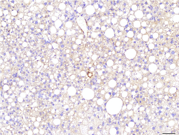
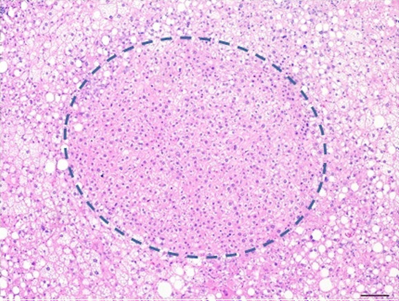
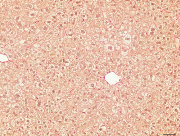
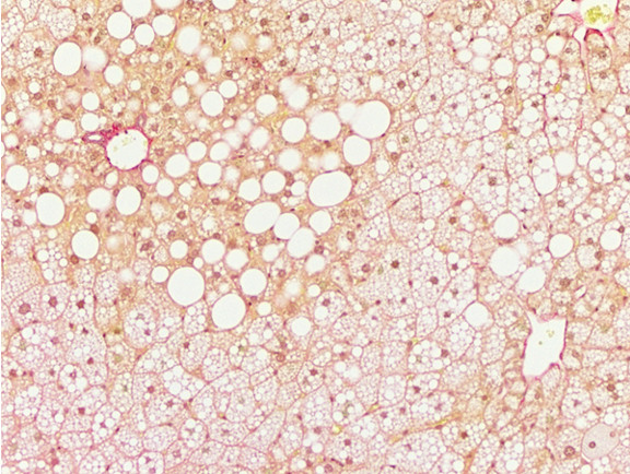
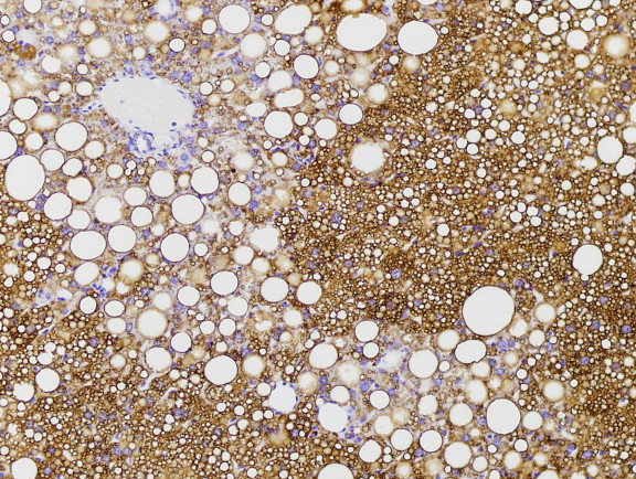
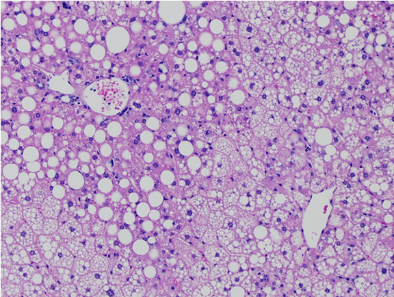
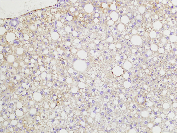
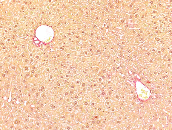
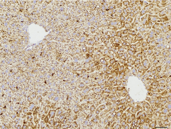
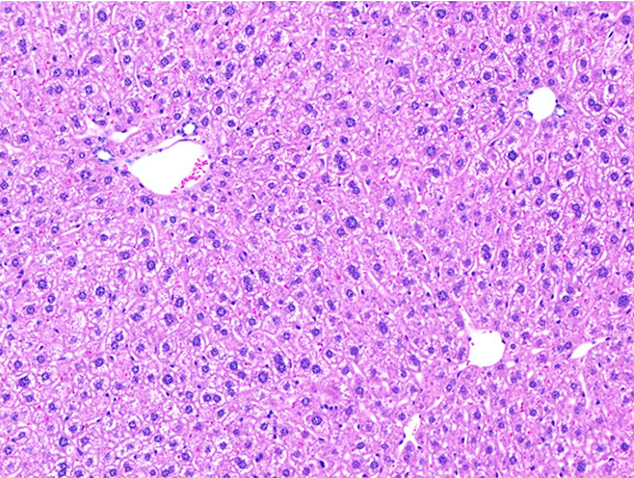
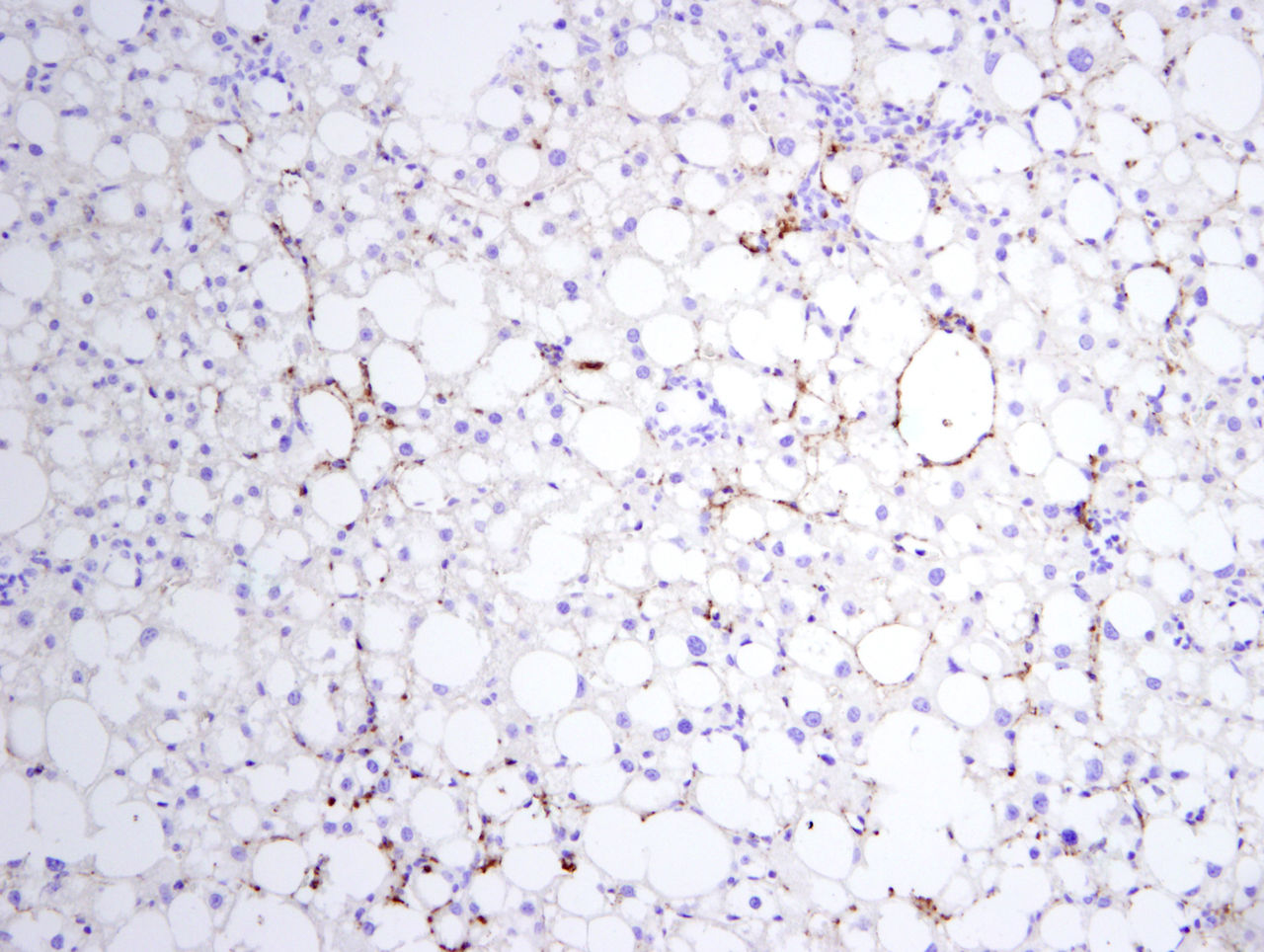
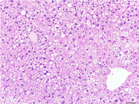
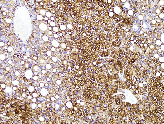
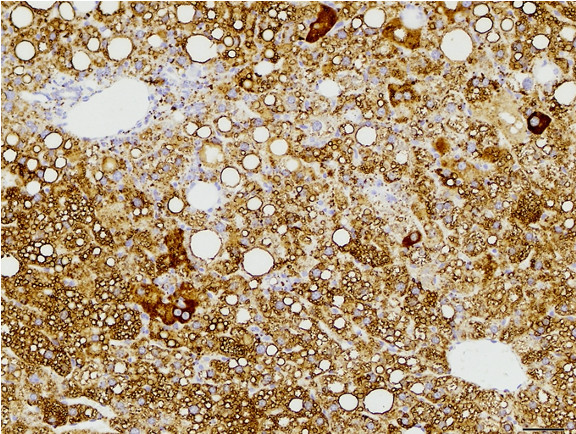
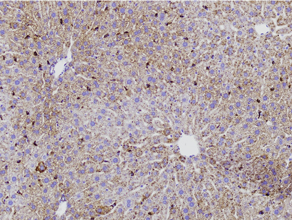
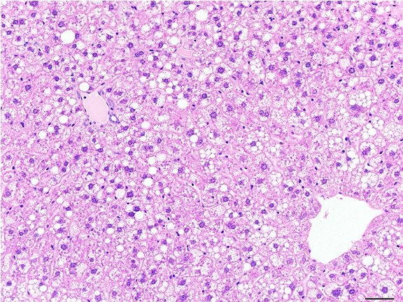
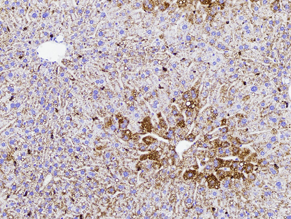
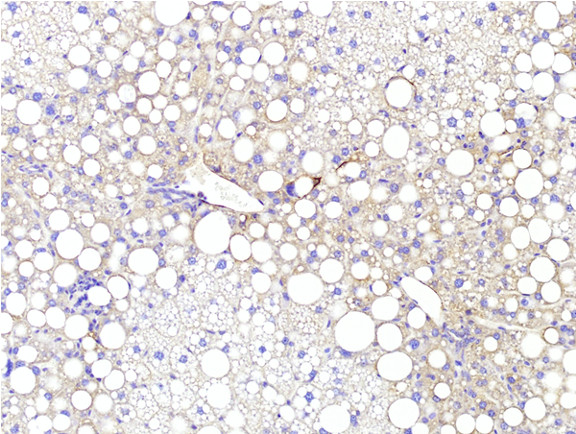
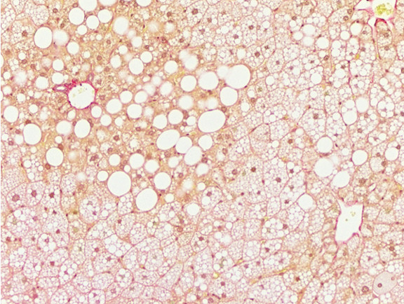
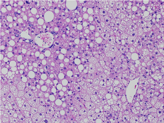
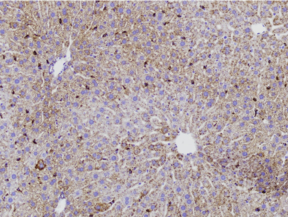
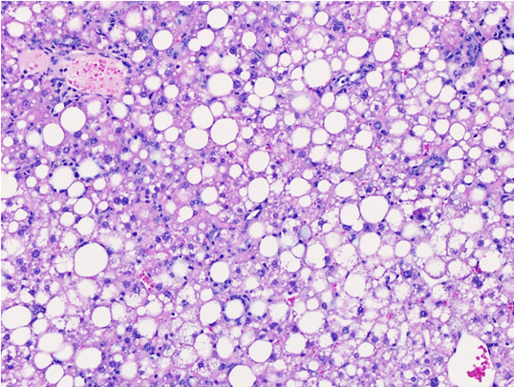
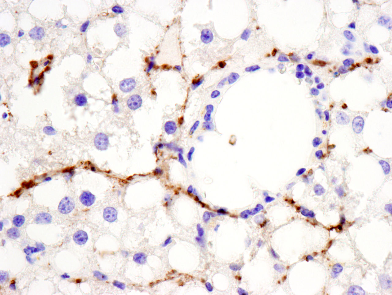
Figure 6: Histopathology for C57BL/6NTac mice placed on D09100310 diet (MASH B6NTac) or kept on chow diet (Control B6NTac) from 6 weeks of age. Animals were on diet for 27, 35 or 53 weeks. Hematoxylin and eosin (H&E) staining illustrates morphological changes including steatosis and infiltration of immune cells. Activated HSCs were identified in liver sections by using a rabbit polyclonal antibody to alpha-smooth muscle actin (a-SMA) (1:500 dilution; ab5694; Abcam, Cambridge, MA) which was detected by an anti-rabbit IgG embedded polymer with embedded horseradish peroxidase and visualized with 3,3′-diaminobenzidine (DAB) chromogen (Agilent, Carpentaria, CA). Hepatocellular lipid droplets were identified by visualization of the lipid-binding protein adipophilin known to be expressed in steatotic livers. Sections of livers were probed using a rabbit polyclonal anti-adipophilin antibody (1:200 dilution; NB110-40877, Novus Biologics, Littleton, CO) which was detected by an anti-rabbit IgG embedded polymer with embedded horseradish peroxidase and visualized with 3,3′-diaminobenzidine (DAB) chromogen (Aligent, Carpentaria, CA). Picrosirius red (PSR) staining illustrates collagen I and III fibers and is used to measure fibrosis. The same individual MASH or control animal is shown for all four stains in a particular time point. Different individual animals were used for each time point (i.e. data is not longitudinal by animal). Histopathology services provided by IDEXX BioAnalytics.
C57BL/6NTac mice either on MASH diet D09100310i or on control NIH-31M chow diet were necropsied at 22 (MASH only, no controls), 33, 41 or 59 weeks of age. With the exception of the 59 weeks of age group, MASH mice were selected as two full cagemate groups (10 total mice, 5 mice/cage). A portion of liver was collected for histopathology analysis. The remainder of the liver was dissected and any gross lesions or abnormalities were noted.
General MASH mouse findings: All mice were bright, alert and responsive. Fur coat condition was visibly oily and all mice had body condition score 5/5. Alopecia/barbering was evident in some mice, as were healed fight wounds. All animals had marked mesentary and subcutaneous adipose tissue. Liver in all mice was grossly pale to tan, smooth, and uniformly enlarged. All mice displayed moderate diffuse hepatomegaly with steatosis. For nearly all mice, no masses or lesions were observed on serosal or cut side of livers.
The following findings were noted: Male M671 (33 weeks old) was found to have an approximately 1.0 mm lesion, flat, circular, flush to the medial lobe, milky white in coloration, located on the lower right side of the medial lobe (Fig 7). In the 59 week old group, visible suspect lesions with fat-like deposit appearance measuring approximately 0.1 - 0.4 cm on serosal side of liver were found in M444, M445, M652, M653. Portions of M652 and M653 (Fig. 9) livers showing suspect lesions were fixed and sent for pathology analysis.
M655 showed a hepatic mass measuring approximately 0.8 cm, located between the left and caudal lobe tissues (Fig. 10); this was fixed and sent for pathology analysis. Final histopathology report on 59 week old MASH mice found liver adenomas that compressed the adjacent parenchyma in 2 out of 10 mice (M655 and M444), foci of hepatocellular alteration and proliferation in 4 of 10 mice (M443, M444, M445, M652) and oval cell hyperplasia in all but 1 mouse (M770). An incidental finding observed in 1 of 10 mice (M655) was the presence of large aggregates of mononuclear cells including large and small lymphocytes, plasma cells and dendritic-like cells adjacent to central veins. These aggregates have features of lymphocyte neoplasia most consistent with follicular lymphoma (also described as follicular B-cell lymphoma), a common age-related neoplastic condition of C57BL/6 mice. No hepatocellular carcinoma was identified by histopathology in any of the MASH mice examined at 27, 35 or 53 weeks on diet (10/group).
General chow control mouse findings: All mice were bright, alert and responsive. Fur coat appeared well groomed with mild oily appearance. Intermittent lighter colored tips on hairshafts of fur coat. Body condition score was 3-4 for controls at 33 and 41 weeks of age and 4 for controls at 59 weeks of age. All animals had adequate to plentiful mesentary and subcutaneous adipose tissue present. Liver appeared grossly dark pink with uniform color and texture, except in 2 males at 59 weeks for which liver appeared mildly pale with a mild icteric tinge in 2 of 5 males. No masses or lesions were observed on serosal or cut side of livers.
The histopathology report for 59 week old control mice identified an incidental finding in 3 of 5 mice (M18, M19, M20): the presence of large aggregates of mononuclear cells including large and small lymphocytes, plasma cells and dendritic-like cells adjacent to central veins. These aggregates have features of lymphocyte neoplasia most consistent with follicular lymphoma (also described as follicular B-cell lymphoma), a common age-related neoplastic condition of C57BL/6 mice.
Figure 7: Liver of C56BL/6NTac mouse on MASH diet D09100310i for 27 weeks displays moderate diffuse hepatomegaly with steatosis. This mouse (male M671) displayed a flat lesion flush to the medial lobe.
Figure 8: Liver of C57BL/6NTac mouse on MASH Diet D09100310i for 35 weeks displays moderate diffuse hepatomegaly with steatosis.
Figure 9: Liver of C57BL/6NTac mouse on MASH diet D09100310i for 53 weeks displays moderate diffuse hepatomegaly with steatosis, along with visible lesions with fat-like deposit appearance measuring approximately 0.1 - 0.4 cm on serosal side.
Figure 10: Liver of C57BL/6NTac mouse on MASH diet D09100310i for 53 weeks displays moderate diffuse hepatomegaly with steatosis, along with a hepatic mass measuring approximately 0.8cm, located between the left and caudal lobe.
Figure 11: Liver as percent of body weight for C57BL/6NTac mouse on MASH diet D09100310i or chow diet for 22-59 weeks of age.
Diet Induced MASH B6 mice are placed on a modified AMLN diet (D09100310i) starting at 6 weeks of age. Controls are fed NIH-31M. We are not able to accept MASH B6 orders by weight. Animals can lose weight in transit; for ground transit over 48 hours or air transit, mice may require extended acclimation time (2-4 weeks). We recommend acclimation time extends until mice have returned to within 5% of their pre-shipment bodyweight.
Terms of Sale and Use for Diet Induced MASH B6
These models are sold subject to Taconic's Terms and Conditions for Taconic's Models, Products and Services
Available now
| Age in Weeks | Quantity 1 - 999 |
|---|---|
| 9 to 10 | US$142.00 |
| 11 to 12 | US$169.00 |
| 13 to 14 | US$196.00 |
| 15 to 16 | US$228.00 |
| 17 to 18 | US$256.00 |
| 19 to 20 | US$282.00 |
| 21 to 22 | US$309.00 |
| 23 to 24 | US$354.00 |
| 25 to 26 | US$363.00 |
| 27 to 28 | US$392.00 |
| 29 to 30 | US$422.00 |
| 31 to 32 | US$450.00 |
| 33 to 34 | US$476.00 |
| 35 to 36 | US$507.00 |
| 37 to 38 | US$534.00 |
| 39 to 40 | US$564.00 |
| 41 to 42 | US$592.00 |
| 43 to 44 | US$619.00 |
| 45 to 46 | US$646.00 |
Available now
| Age in Weeks | Quantity 1 - 999 |
|---|---|
| 9 to 10 | US$47.00 |
| 11 to 12 | US$62.00 |
| 13 to 14 | US$74.00 |
| 15 to 16 | US$84.00 |
| 17 to 18 | US$96.00 |
| 19 to 20 | US$108.00 |
| 21 to 22 | US$119.00 |
| 23 to 24 | US$129.00 |
| 25 to 26 | US$140.00 |
| 27 to 31 | US$164.00 |
| 32 to 36 | US$186.00 |
| 37 to 40 | US$209.00 |
| 41 to 44 | US$231.00 |
| 45 to 46 | US$253.00 |
Available now
| Age in Weeks | Quantity 1 - 999 |
|---|---|
| 9 to 10 | 130,00 € |
| 11 to 12 | 153,00 € |
| 13 to 14 | 178,00 € |
| 15 to 16 | 207,00 € |
| 17 to 18 | 233,00 € |
| 19 to 20 | 255,00 € |
| 21 to 22 | 283,00 € |
| 23 to 24 | 322,00 € |
| 25 to 26 | 330,00 € |
| 27 to 28 | 357,00 € |
| 29 to 30 | 384,00 € |
| 31 to 32 | 408,00 € |
| 33 to 34 | 435,00 € |
| 35 to 36 | 462,00 € |
| 37 to 38 | 486,00 € |
| 39 to 40 | 513,00 € |
| 41 to 42 | 539,00 € |
| 43 to 44 | 560,00 € |
| 45 to 46 | 588,00 € |
Available now
| Age in Weeks | Quantity 1 - 999 |
|---|---|
| 9 to 10 | 30,00 € |
| 11 to 12 | 38,00 € |
| 13 to 14 | 67,00 € |
| 15 to 16 | 77,00 € |
| 17 to 18 | 87,00 € |
| 19 to 20 | 98,00 € |
| 21 to 22 | 108,00 € |
| 23 to 24 | 118,00 € |
| 25 to 26 | 128,00 € |
| 27 to 31 | 150,00 € |
| 32 to 36 | 169,00 € |
| 37 to 40 | 190,00 € |
| 41 to 44 | 210,00 € |
| 45 to 46 | 231,00 € |
Available now
| Age in Weeks | Quantity 1 - 999 |
|---|---|
| 9 to 10 | kr.970,00 |
| 11 to 12 | kr.1.140,00 |
| 13 to 14 | kr.1.325,00 |
| 15 to 16 | kr.1.540,00 |
| 17 to 18 | kr.1.724,00 |
| 19 to 20 | kr.1.910,00 |
| 21 to 22 | kr.2.102,00 |
| 23 to 24 | kr.2.395,00 |
| 25 to 26 | kr.2.456,00 |
| 27 to 28 | kr.2.657,00 |
| 29 to 30 | kr.2.843,00 |
| 31 to 32 | kr.3.049,00 |
| 33 to 34 | kr.3.234,00 |
| 35 to 36 | kr.3.434,00 |
| 37 to 38 | kr.3.619,00 |
| 39 to 40 | kr.3.819,00 |
| 41 to 42 | kr.3.992,00 |
| 43 to 44 | kr.4.168,00 |
| 45 to 46 | kr.4.397,00 |
Available now
| Age in Weeks | Quantity 1 - 999 |
|---|---|
| 9 to 10 | kr.321,00 |
| 11 to 12 | kr.422,00 |
| 13 to 14 | kr.502,00 |
| 15 to 16 | kr.571,00 |
| 17 to 18 | kr.651,00 |
| 19 to 20 | kr.728,00 |
| 21 to 22 | kr.805,00 |
| 23 to 24 | kr.876,00 |
| 25 to 26 | kr.953,00 |
| 27 to 31 | kr.1.107,00 |
| 32 to 36 | kr.1.261,00 |
| 37 to 40 | kr.1.415,00 |
| 41 to 44 | kr.1.568,00 |
| 45 to 46 | kr.1.712,00 |
Available now
| Age in Weeks | Quantity 1 - 999 |
|---|---|
| 9 to 10 | US$143.00 |
| 11 to 12 | US$169.00 |
| 13 to 14 | US$196.00 |
| 15 to 16 | US$227.00 |
| 17 to 18 | US$256.00 |
| 19 to 20 | US$282.00 |
| 21 to 22 | US$311.00 |
| 23 to 24 | US$354.00 |
| 25 to 26 | US$363.00 |
| 27 to 28 | US$390.00 |
| 29 to 30 | US$422.00 |
| 31 to 32 | US$450.00 |
| 33 to 34 | US$478.00 |
| 35 to 36 | US$507.00 |
| 37 to 38 | US$534.00 |
| 39 to 40 | US$561.00 |
| 41 to 42 | US$589.00 |
| 43 to 44 | US$619.00 |
| 45 to 46 | US$649.00 |
Available now
| Age in Weeks | Quantity 1 - 999 |
|---|---|
| 9 to 10 | US$47.00 |
| 11 to 12 | US$62.00 |
| 13 to 14 | US$74.00 |
| 15 to 16 | US$84.00 |
| 17 to 18 | US$96.00 |
| 19 to 20 | US$108.00 |
| 21 to 22 | US$119.00 |
| 23 to 24 | US$129.00 |
| 25 to 26 | US$140.00 |
| 27 to 31 | US$164.00 |
| 32 to 36 | US$186.00 |
| 37 to 40 | US$209.00 |
| 41 to 44 | US$231.00 |
| 45 to 46 | US$253.00 |
Available now
| Age in Weeks | Quantity 1 - 999 |
|---|---|
| 9 to 10 | 130,00 € |
| 11 to 12 | 153,00 € |
| 13 to 14 | 177,00 € |
| 15 to 16 | 207,00 € |
| 17 to 18 | 233,00 € |
| 19 to 20 | 257,00 € |
| 21 to 22 | 283,00 € |
| 23 to 24 | 322,00 € |
| 25 to 26 | 329,00 € |
| 27 to 28 | 357,00 € |
| 29 to 30 | 384,00 € |
| 31 to 32 | 410,00 € |
| 33 to 34 | 435,00 € |
| 35 to 36 | 462,00 € |
| 37 to 38 | 484,00 € |
| 39 to 40 | 511,00 € |
| 41 to 42 | 539,00 € |
| 43 to 44 | 563,00 € |
| 45 to 46 | 591,00 € |
Available now
| Age in Weeks | Quantity 1 - 999 |
|---|---|
| 9 to 10 | 30,00 € |
| 11 to 12 | 38,00 € |
| 13 to 14 | 67,00 € |
| 15 to 16 | 77,00 € |
| 17 to 18 | 87,00 € |
| 19 to 20 | 98,00 € |
| 21 to 22 | 108,00 € |
| 23 to 24 | 118,00 € |
| 25 to 26 | 128,00 € |
| 27 to 31 | 150,00 € |
| 32 to 36 | 169,00 € |
| 37 to 40 | 190,00 € |
| 41 to 44 | 210,00 € |
| 45 to 46 | 231,00 € |
Available now
| Age in Weeks | Quantity 1 - 999 |
|---|---|
| 9 to 10 | kr.970,00 |
| 11 to 12 | kr.1.134,00 |
| 13 to 14 | kr.1.325,00 |
| 15 to 16 | kr.1.540,00 |
| 17 to 18 | kr.1.733,00 |
| 19 to 20 | kr.1.910,00 |
| 21 to 22 | kr.2.102,00 |
| 23 to 24 | kr.2.383,00 |
| 25 to 26 | kr.2.456,00 |
| 27 to 28 | kr.2.657,00 |
| 29 to 30 | kr.2.857,00 |
| 31 to 32 | kr.3.049,00 |
| 33 to 34 | kr.3.234,00 |
| 35 to 36 | kr.3.418,00 |
| 37 to 38 | kr.3.602,00 |
| 39 to 40 | kr.3.801,00 |
| 41 to 42 | kr.3.992,00 |
| 43 to 44 | kr.4.168,00 |
| 45 to 46 | kr.4.397,00 |
Available now
| Age in Weeks | Quantity 1 - 999 |
|---|---|
| 9 to 10 | kr.321,00 |
| 11 to 12 | kr.422,00 |
| 13 to 14 | kr.502,00 |
| 15 to 16 | kr.571,00 |
| 17 to 18 | kr.651,00 |
| 19 to 20 | kr.728,00 |
| 21 to 22 | kr.805,00 |
| 23 to 24 | kr.876,00 |
| 25 to 26 | kr.953,00 |
| 27 to 31 | kr.1.107,00 |
| 32 to 36 | kr.1.261,00 |
| 37 to 40 | kr.1.415,00 |
| 41 to 44 | kr.1.568,00 |
| 45 to 46 | kr.1.712,00 |
Need help choosing the right Taconic Biosciences health standard for your research?
Use the Health Standard Selector to enter your exclusion list. The tool will tell you which health standards meet your requirements.
Connect directly with a member of our Scientific Solutions team who can help you select the most appropriate model and maximize your experimental success.
Smart Select Program
To help alleviate uncertainty in selecting a new model, we offer a free animal trial program that allows you to test the quality, consistency, and availability of Taconic’s rodent models. Pilot our most popular mouse or rat models in your facility at no cost to your organization with the Smart Select program.